病例介绍
患者36岁,G6P2,剖宫产。
✦主诉:经期下腹痛进行性加重伴经量增多4+年。
✦现病史:一贯经期下腹痛,经量多,4+年前经期下腹痛加重,经量增多为原来的3倍,经期由6-7延长至10+天。
查彩超示:双子宫,双侧子宫腺肌病,HGB 波动于80-90g/L,长期口服补血药物,2年前阴道出血不止,HGB 61g/L,输血治疗后行“宫腔镜检查+分段诊刮术”。
术后病理:双侧子宫腔内膜均呈增殖反应,术后孕激素后半周期治疗无效,口服达英-35、优思明症状有改善,5月前经期下腹痛再次加重,经量仍较多。
✦既往史:剖宫产2次,均因“子宫畸形”均行右侧子宫下剖宫产术。
婚育史:2-0-4-2。
妇科查体:外阴已婚已产式,阴道一个,通畅,宫颈2个,可触及两个宫体,右侧子宫增大如孕2+月大,左侧子宫增大如2+月大,质稍硬,活动度尚可,无压痛,双附件未及异常。
✦辅助检查:
妇科彩超:
1.子宫畸形:双子宫双宫颈。
2.子宫肌腺症(左侧子宫体7.0cm×5.8cm×6.8cm,回声欠均匀。右侧子宫体7.4cm×5.6cm×6.2cm,回声欠均匀)。
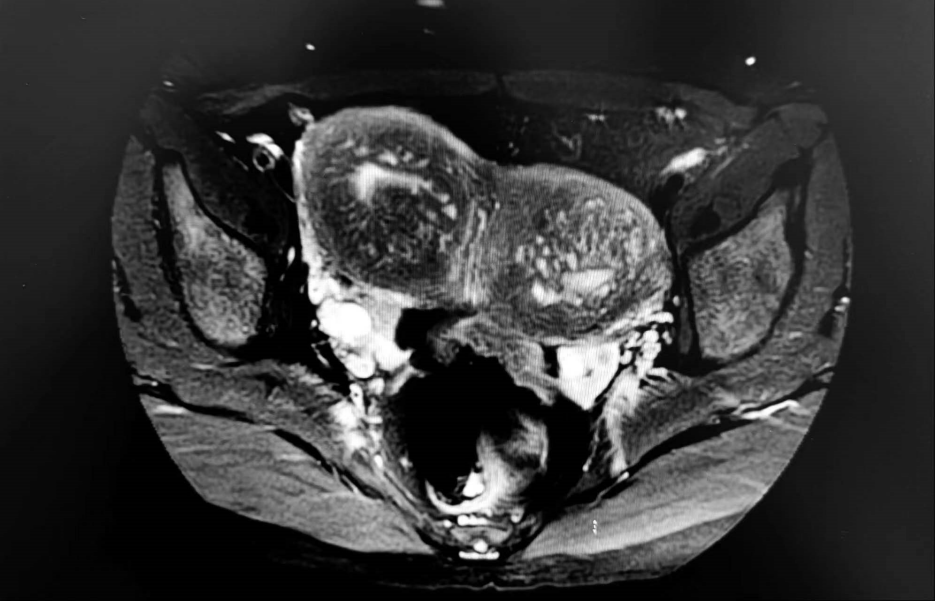
盆腔MRI:
1.子宫双宫颈、双子宫畸形。
2.子宫肌腺症并腺肌瘤改变。
3.右侧疤痕子宫。

血常规:HB:87g/L。
肿瘤标志物:CA125:117.9U/ml。
✦入院诊断:
1.子宫腺肌症。
2.双子宫双宫颈畸形。
3.中度贫血。
专家简介
易劲松 主任医师
福建省妇幼保健院妇四科科室副主任,主任医师、医学硕士、硕士研究生导师。
☆从事妇产科临床、教学和科研工作20多年,具有非常丰富的临床经验。曾任卫生部援非洲和福建省卫计委宁夏对口合作专家,现担任中国妇幼保健协会出生缺陷和分子遗传分会委员、中华医学会福建省计划生育学分会常务委员、中华医学会福建省妇产科分会妇科腔镜学组委员、福建省海峡医药卫生交流协会妇产科学专业委员会委员、福建省优生优育协会生殖微创与生育力保护专委会常务委员、福建省妇科内镜医疗质控中心秘书。
☆擅长妇科微创手术(腹腔镜和宫腔镜)和妇科内分泌疾病的治疗。专业开展腹腔镜手术治疗子宫肌瘤、子宫腺肌病、卵巢良性肿瘤、子宫内膜异位症;宫腹腔镜联合治疗不孕症;宫腔镜治疗粘膜下子宫肌瘤、子宫纵隔、宫腔粘连、子宫内膜息肉等;宫颈环扎术治疗宫颈机能不全致晚期复发性流产。对妇科内分泌疾病如月经异常、闭经、功血、多囊卵巢综合征、绝经相关疾病等亦有丰富的治疗经验。成功开展单孔腹腔镜技术,为患者带来更微创体验。
责编:liu
